长江日报大武汉客户端2月26日讯 被鱼刺卡喉,用尽各种“土办法”强行咽下后,喉咙疼痛加剧。后来才知道,鱼刺不仅扎穿食管,还玩起了“潜伏”引发感染。武汉大学人民医院(湖北省人民医院)东院区耳鼻咽喉头颈外I科专家尝试多种办法,终于帮孝感的张奶奶找到这个“罪魁祸首”。

78岁的张奶奶尤其爱吃鱼,最近有一次吃到一半突然感觉喉咙一阵刺痛,意识到可能是鱼刺卡喉了,她先是用手指抠喉咙不起作用,后来又吞饭喝醋,喉咙终于没有了异物感,张奶奶以为鱼刺就这样被吞了下去。
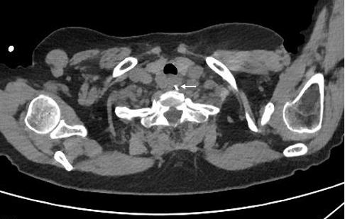
不料次日醒来,张奶奶感觉喉咙痛得更厉害了。家人赶紧带她到当地医院就诊,食道CT提示,食道上段有一长约1.5厘米的异物,同时食管穿孔。但随后食道镜检查,却怎么也找不到鱼刺。鱼刺究竟去哪儿了?医生建议立即转往武汉大学人民医院(湖北省人民医院)东院区。
该院耳鼻咽喉头颈外I科主任朱霆教授接诊后仔细查看了CT影像,认为异物极有可能已穿透食道并游走到了颈部。此时张奶奶已经5天无法经口进食,仅靠输液维持生命体征,颈深部间隙可能已出现感染。若再不找到并立即取出异物,颈深部感染及纵隔感染几乎无法避免,后果不堪设想。
但手术存在巨大风险。朱霆教授团队反复讨论认为,如果经食道镜手术,相对安全,但异物取出的概率极低;如果经颈部切开入路寻找异物,成功概率大,但手术难度极高。经过慎重研判,朱霆教授团队决定先行食道镜检查,如未果,再施行第二套手术方案,即经颈外入路探查取刺。

在征得张奶奶和家属的同意后,朱霆立即安排了急诊手术,历时3个半小时,终于在椎前间隙内找到异物,并成功取出这根狡猾的鱼刺。术后张奶奶生命体征平稳,颈部及纵隔无继发感染,切口一期愈合,顺利出院。

朱霆表示,食道异物是耳鼻咽喉科常见病及多发病,最易发生于幼儿及老人,以及平时有囫囵吞咽习惯的人。一旦误咽异物,切不可强行进食,应及时就医,否则尖锐异物极易穿破食道,游走于颈部组织间隙或体腔深处,为后续治疗造成极大困难,严重时甚至危及生命。
朱霆提醒,吞饭团、喝醋、用手指抠喉咙等“土方法”可能会造成异物刺向更深处,甚至刺破食道,损伤颈部或胸腔大血管。应立即到医院就诊,进行咽喉镜和食道拍片检查,一旦发现食道异物要尽快取出。(长江日报记者黎清 通讯员邹亚琴 邓智锋 夏巍 视频制作黎清)
【编辑:余丽娜】
请输入验证码