长江日报大武汉客户端3月24日讯 听神经瘤手术,无需再“开颅取骨”。近日,武汉大学人民医院(湖北省人民医院)耳科廖华教授团队通过创新术式“持续灌流模式下耳内镜技术”,为一名34岁听神经瘤患者实施了经外耳道无痕微创手术。术后患者体表无创口、无面瘫、无眩晕,一周便康复出院。这一技术突破标志着我国耳内镜外科正式迈入“精准无痕”新纪元,为全球听神经瘤治疗提供了“中国方案”。
“听神经瘤像定时炸弹一样危险”
34岁的张女士怎么也没想到,一场突如其来的左耳失聪竟暗藏致命危机。2024年初,她因突发耳鸣、听力骤降在外院被诊断为“突发性耳聋”,经药物治疗后症状未见好转。转诊至武汉大学人民医院后,廖华教授团队通过精准检查,在其内听道深处发现一个16×8mm的听神经瘤。
“这颗肿瘤像定时炸弹一样危险。”廖华解释,听神经瘤虽属良性,但生长在内听道这一狭小空间内,会逐步压迫面神经,甚至可能因肿瘤增大压迫脑干危及生命。
创新术式无需“开颅取骨”即可剥除肿瘤
3月5日,经过对张女士的病情进行详细评估后,廖华教授团队决定摒弃传统的开颅术式,选择经自然外耳道建立手术通路。术中直径仅3mm的耳内镜如同“微缩摄像头”,持续生理盐水灌流则营造了澄明的手术视野。

廖华教授开展持续灌流模式耳内镜手术中。
手术团队精准磨除内耳骨质后,精准暴露肿瘤。通过特制的微型器械,历时3小时完整剥离肿瘤并保留面神经功能。术后,张女士无面瘫、无眩晕,次日即能下床活动,体表未见任何切口瘢痕。“我感觉与同病房的中耳炎患者没什么不同!”她惊喜地表示。
传统听神经瘤手术需取下部分颅骨或者磨除鸡蛋大小的骨质,术中为暴露肿瘤组织,还需撑开脑组织。而“持续灌流模式下耳内镜”新技术精准微创,仅需磨除花生大小骨质即可暴露肿瘤,有效降低牵拉脑组织风险;手术时间缩短,最快2小时完成复杂操作。术后恢复提速,通常患者1至3天下床活动,一周便可出院,真正实现了“体表零切口、颅内微侵袭”的微创目标。
据了解,该院自2019年开展首例耳内镜下听神经瘤切除术以来目前已成功完成10余例手术,所有患者均获得肿瘤完全切除,同时面神经功能均获完全保留。

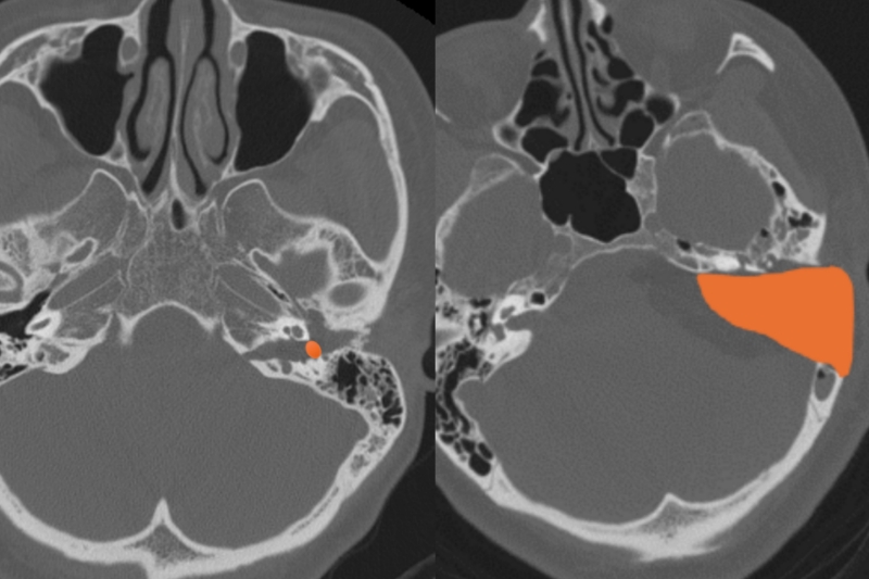
橙色所示听神经瘤切除暴露范围对比(左为持续灌流耳内镜技术,右为传统手术方式)。
催生了一系列耳科手术的创新
廖华教授告诉记者,持续灌流模式耳内镜下听神经瘤切除手术并非适用于所有听神经瘤患者,有较为严格的手术适应证,特别适合无实用听力内听道内的听神经瘤患者。

持续灌流模式耳内镜手术示意图。
“持续灌流模式下耳内镜”这项颠覆性技术的诞生,凝结着武汉大学人民医院耳科专家团队5年的创新智慧。早在2017年,廖华教授在进行耳内镜手术的过程中,注意到传统耳内镜手术由于镜头污染、术腔出血,会导致视野模糊、手术操作中断,甚至损伤重要神经。经过不断尝试,他带领团队于2019年成功研发了全球首个耳内镜持续灌流系统。
该技术的实施催生了一系列耳科手术的创新。廖华教授领导的团队相继完成了多项世界首创技术,包括“微瓣外置法鼓膜修补术”,该技术将鼓膜愈合时间从三周缩短至大约十天;“超微瓣鼓室成形术”,其不仅提高了疗效,还降低了手术难度,更便于基层医生学习和掌握;“水下镫骨打孔技术”,它使得耳硬化症手术的视野更加清晰和安全。此外,“联合入路中耳胆脂瘤手术”使胆脂瘤无处藏身,实现了听力重建的可视化;“精准半规管填塞术”显著提高了梅尼埃患者的保听几率。目前,廖华教授的团队已经建立了一个包含10余项世界首创技术的完整体系,处于国际领先水平。

廖华教授给全国耳内镜外科医师授课。
武汉大学人民医院耳鼻咽喉头颈外科是首批国家临床重点专科建设单位,年度手术量近10000台。耳科主任廖华教授提出的“持续灌流耳内镜技术体系”,作为耳内镜外科领域的一项创新手术理念,已成为国内耳内镜外科技术的代表,被纳入《耳内镜外科持续灌流模式专家共识》。廖华教授团队成员在2023—2024年间连续获得中华医学会耳内镜手术视频大赛的冠军荣誉,吸引了来自欧洲、亚洲等多国的专家前来该院学习和观摩。
此外,廖华教授团队近4年已开展10期解剖及临床技能培训班,并首次招收了外国学员,培养了数百名耳内镜外科医师,大大推进了基层耳内镜外科发展,并获得了国内外同行的高度评价及广泛推广。(长江日报记者王恺凝 通讯员刘禹 徐勇)
【编辑:余丽娜】
请输入验证码