长江日报大武汉客户端10月6日讯(记者张剑 通讯员汪小君)“胸口像压了块大石头,喘不上气……”10月5日,57岁的兰州游客郑先生在武汉旅游时突发剧烈胸痛,伴随冷汗、恶心、乏力等症状,同行亲友立即拨打120急救电话,救护车迅速将患者送往泰康同济(武汉)医院(简称泰康同济),该院胸痛中心立即启动胸痛绿通抢救预案,仅用时51分钟,成功开通堵塞血管,患者很快转危为安。
郑先生一入院,心电图检查瞬间锁定其为“急性下壁心肌梗死”,即因右冠状动脉或左回旋支急性闭塞导致的危急重症,随时可能引发恶性心律失常、心源性休克、猝死等致命风险。

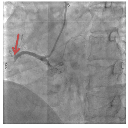
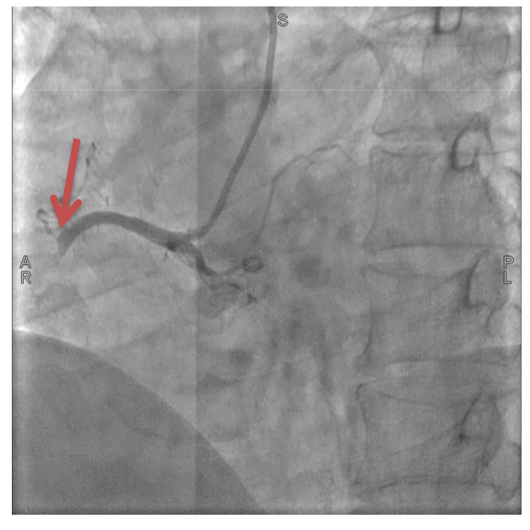
闭塞的右冠状动脉。
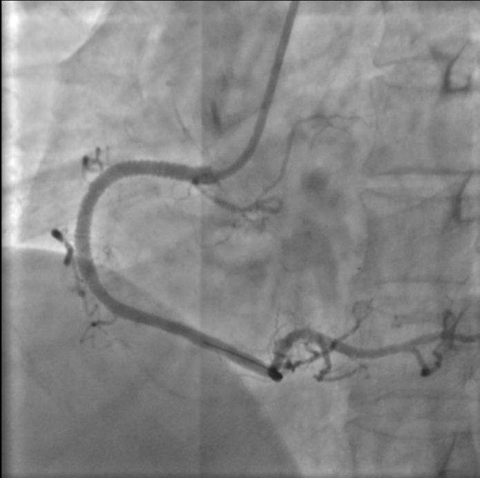
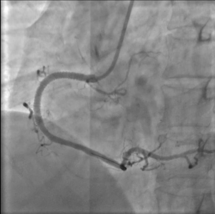
一场与时间的赛跑随即展开,泰康同济胸痛中心立即启动急性心肌梗死救治绿色通道,急诊冠状动脉造影显示郑先生右冠状动脉完全闭塞。从进入医院大门到手术器械成功开通堵塞血管仅用时51分钟,远低于国际公认的90分钟黄金标准。术后郑先生胸痛症状迅速缓解,生命体征逐渐平稳,目前已转入普通病房观察。

植入支架之后的右冠状动脉。
“时间就是心肌,时间就是生命。”泰康同济心血管内科主任蒋桔泉介绍,急性心肌梗死救治,每延迟1分钟就有约100—300个心肌细胞缺血缺氧坏死,且坏死细胞无法再生,黄金抢救窗口仅有发病后的120分钟。对普通人而言,掌握正确的胸痛急诊方法,是为生命争取时间的关键。
蒋桔泉提醒,无论身处何地的患者,一旦出现疑似急性心肌梗死的胸痛症状,都应立即呼叫120,胸痛不硬扛,“早一秒识别,早一步行动,就能为生命多一份保障”。
【余丽娜】
请输入验证码